Ministerio de Ciencia e Innovación

El CIBER-BBN colabora con la ONCE y el CIPF para intentar retrasar la pérdida de visión en las distrofias hereditarias de retina

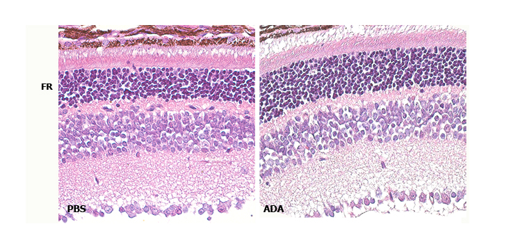
*Imagen
CIBER | viernes, 13 de noviembre de 2020

Investigadores del CIBER-BBN participan en un nuevo proyecto que tiene como objetivo lograr una nanoterapia farmacológica lo más eficaz, específica y económica, que permita retrasar la muerte de las células de la retina y posterior pérdida de la visión en la distrofia hereditaria de retina, retinosis pigmentaria, con independencia del defecto genético causante de la enfermedad.

En este proyecto, coordinado por la investigadora Regina Rodrigo, colaboran la ONCE y el Centro de Investigación Príncipe Felipe (CIPF) de Valencia, junto a investigadores del CIBER de Enfermedades Raras (CIBERER) y del hospital de Manises de Valencia. Por parte del CIBER-BBN participan el director científico, Ramón Martínez Máñez, junto a Elena Aznar del grupo IDM-UPV de la Universitat Politècnica de València, José Luís Pedraz, Gustavo Puras e Idoia Gallego, del grupo de la Universidad de País Vasco y Nanbiosis.

La retinosis pigmentaria es un grupo de distrofias hereditarias de la retina caracterizada por la pérdida progresiva e irreversible de la visión. Aunque se considera una enfermedad rara, es la principal causa genética de ceguera en los países desarrollados. Hasta el momento no existe un tratamiento efectivo, aunque existen diversas aproximaciones terapéuticas como la terapia génica, la celular, la farmacológica, la optogenética o los implantes electrónicos.

Durante la progresión de la enfermedad se ha observado un importante componente inflamatorio que puede contribuir a su patogénesis. En este sentido, se han evaluado distintas estrategias anti-inflamatorias. El grupo investigador ha ensayado una de esas estrategias con éxito en modelos preclínicos de retinosis pigmentaria. Sin embargo, la implementación de esta estrategia terapéutica con nanovehículos como sistemas de entrega de liberación controlada mejoraría el modo de actuación del fármaco administrado evitando su degradación, aumentando su vida media, estabilidad o su disponibilidad en la retina. En este proyecto se emplearán dos tipos de nanovehículos y se evaluará su efecto sobre el proceso degenerativo en un modelo murino de retinosis pigmentaria.

*Imagen hematoxilina y eosina mostrando que el bloqueo intravítreo de la citoquina TNFα con anticuerpos monoclonales tipo Adalimumab (ADA) reduce la degeneración de la retina, previniendo la muerte de los fotorreceptores (FR) en el modelo murino de retinosis pigmentaria, ratón rd10.