Ministerio de Ciencia e Innovación

Un diagnóstico más fiable de anomalías fetales mediante reconstrucción 3D del útero materno

*Imagen
UPM | lunes, 20 de febrero de 2023

Un estudio en el que participan investigadores de la Universidad Politécnica de Madrid y del CIBER-BBN combina modelos realistas del movimiento fetal y técnicas de aprendizaje profundo no supervisado para obtener reconstrucciones de alta calidad en 3D del útero materno.

Su calidad de imagen, su mejor definición y la posibilidad de cobertura completa del útero materno hacen de la imagen por resonancia magnética (IRM) una técnica idónea para la visualización del desarrollo fetal, con significativas mejoras frente a la ecografía tradicional. Entre ellas, la posibilidad de identificar con mayor precisión lesiones o patologías en el feto.

La IRM fetal es especialmente útil ante sospecha de anomalías en una ecografía pero se ve limitada tradicionalmente por el movimiento maternofetal durante la adquisición. Ahora, una técnica en la que trabajan equipos de la Universidad Politécnica de Madrid y el CIBER-BBN podría permitir un cambio en este campo, al hacer posible obtener reconstrucciones detalladas en 3D de todo el útero materno a partir de la adquisición continua de imágenes de un feto en movimiento por medio de IRM.

Esto es posible mediante la combinación de modelos avanzados del movimiento maternofetal y técnicas de aprendizaje profundo no supervisado. El estudio ha sido realizado por el Grupo de Tecnologías de Imágenes Biomédicas de la UPM y el CIBER-BBN, liderado por Lucilio Cordero Grande y coordinado por María Jesús Ledesma Carbayo, contando con la colaboración del King’s College London y el Hospital General Universitario Gregorio Marañón de Madrid.

Un cambio en la reconstrucción de imagen fetal

“Debido a su simplicidad, la ecografía es la modalidad de imagen de referencia para el seguimiento del embarazo y, por ello, se le asocia comúnmente a la visualización del desarrollo fetal. Sin embargo, la imagen por resonancia magnética es la modalidad indicada cuando se sospechan anomalías en ecografía”, explica Lucilio Cordero, investigador del proyecto y profesor en la Escuela Técnica Superior de Ingenieros de Telecomunicación (ETSIT) de la UPM. A causa del alto tiempo de adquisición y del movimiento maternofetal, “hasta el momento no se habían podido construir representaciones consistentes de toda la anatomía fetal a partir de IRM. Así, los estudios previos se habían centrado especialmente en el cerebro o el torso fetal por separado”, añade.

La actual propuesta de los investigadores de la UPM rompe con esas limitaciones y permite desarrollar una técnica para reconstrucción de imagen fetal 3D mediante IRM con cobertura completa del útero materno. Los resultados muestran la posibilidad de obtener representaciones tridimensionales de alta calidad con cobertura completa de los tejidos fetales y del útero.

“La comparativa con métodos existentes, los cuales únicamente atienden a la consistencia 3D en regiones localizadas tales como el cerebro o el torso fetales, ha demostrado que, además de poder aplicarse a un mayor campo de visión, la técnica propuesta proporciona un incremento significativo en la resolución y calidad de imagen”, indica María Jesús Ledesma, catedrática de la ETSIT.

Los resultados obtenidos en este proyecto, que ha sido cofinanciado por la Comunidad de Madrid, el Ministerio de Ciencia e Innovación, la Agencia Estatal de Investigación y el Fondo Europeo de Desarrollo Regional, han sido validados por radiólogos expertos en imagen fetal y se ha demostrado el valor añadido proporcionado en aplicaciones orientadas a problemas clínicos.

Un paso más allá en su aplicación

Al habilitar una nueva manera de construir representaciones robustas y detalladas de la anatomía fetal, las aplicaciones futuras de este trabajo podrían ser numerosas. Por el momento, la calidad mejorada de imagen ha resultado en una mayor fiabilidad en el uso de técnicas de aprendizaje automático para la obtención de biomarcadores de potencial interés clínico tales como la edad gestacional estimada.

Además, la posibilidad de visualización panorámica 3D del cuerpo fetal ha permitido la cuantificación directa y objetiva del crecimiento fetal. En este último caso se ha observado un nivel de acuerdo elevado con resultados poblacionales obtenidos a partir de métodos indirectos de evaluación del crecimiento mediante ecografía, los cuales requieren de un operador experto y condiciones adecuadas para una correcta visualización del feto.

A través de esta investigación se han obtenido también resultados preliminares que apuntan al interés de la técnica en otros dominios clínicos, e incluso se está estudiando su uso para mejora de imagen ecográfica. Entre los objetivos de este proyecto se encuentra, como explican sus investigadores, explorar e impulsar potenciales avances en el manejo clínico a partir la nueva técnica.

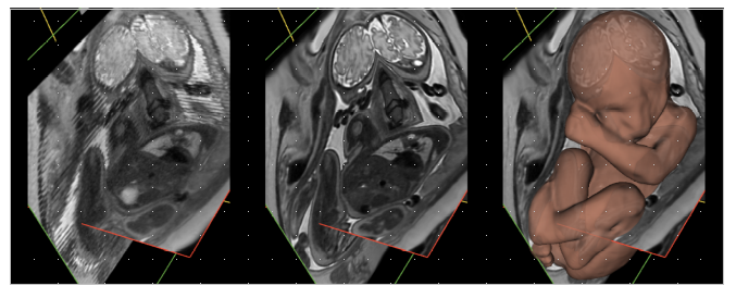
*Imagen: 

A la izquierda se muestra el resultado de una IRM fetal convencional sobre tres cortes de imagen (rojo, verde y amarillo). Se observan inconsistencias debidas al movimiento fetal. En el centro se muestran los mismos planos reconstruidos con la técnica propuesta. Se observa una mejor resolución e información consistente en 3D. A la derecha se muestra superpuesta la superficie del cuerpo fetal obtenida mediante un algoritmo completamente automático desarrollado por el estudiante de doctorado Pedro Pablo Alarcón Gil, como parte de la investigación.

Referencia del artículo

L. Cordero-Grande, J. E. Ortuño-Fisac, A. Aguado del Hoyo, A. Uus, M. Deprez, A. Santos, J. V. Hajnal, M. J. Ledesma-Carbayo. Fetal MRI by robust deep generative prior reconstruction and diffeomorphic registration. IEEE Transactions on Medical Imaging, in press, 2022. doi: 10.1109/TMI.2022.3217725.