Ministerio de Ciencia e Innovación

Noticias

  • CIBERFES
    Disponibles las presentaciones y vídeos de la jornada de disfagia CIBERFES-CIBEREHD
    03/02/2017
    Disponibles las presentaciones y vídeos de la jornada de disfagia CIBERFES-CIBEREHD
  • CIBEREHD
    Una investigación multicéntrica española evalúa la estrategia de suspender el tratamiento anti-TNF en pacientes con enfermedad inflamatoria intestinal
    02/02/2017
    Una investigación multicéntrica española evalúa la estrategia de suspender el tratamiento anti-TNF en pacientes con enfermedad inflamatoria intestinal
  • CIBERFES
    España lidera una iniciativa europea sobre prevención de la fragilidad
    02/02/2017
    España lidera una iniciativa europea sobre prevención de la fragilidad
  • CIBERER
    La U720 participa en un proyecto de desarrollo de tratamientos para enfermedades raras de depósito lisosomal
    01/02/2017
    La U720 participa en un proyecto de desarrollo de tratamientos para enfermedades raras de depósito lisosomal
  • CIBERER
    El CIBERER organiza un workshop europeo sobre registros de enfermedades raras el 21 y 22 de marzo
    01/02/2017
    El CIBERER organiza un workshop europeo sobre registros de enfermedades raras el 21 y 22 de marzo
  • CIBEROBN
    Vivir a más de 450 metros de altitud reduce el riesgo de síndrome metabólico
    01/02/2017
    Vivir a más de 450 metros de altitud reduce el riesgo de síndrome metabólico
  • CIBERBBN
    La técnica de molécula individual permite explicar el comportamiento termodinámico de sistemas complejos de biomoléculas
    31/01/2017
    La técnica de molécula individual permite explicar el comportamiento termodinámico de sistemas complejos de biomoléculas
  • CIBERER
    Designado un nuevo medicamento huérfano para la enfermedad de Von Hippel-Lindau
    31/01/2017
    Designado un nuevo medicamento huérfano para la enfermedad de Von Hippel-Lindau
  • CIBEREHD
    Descubren dos marcadores ligados a la permeabilidad epitelial en el intestino irritable
    31/01/2017
    Descubren dos marcadores ligados a la permeabilidad epitelial en el intestino irritable
  • CIBEREHD
    El CIBEREHD y el BRIC trabajan en un proyecto colaborativo sobre colangiocarcinoma
    31/01/2017
    El CIBEREHD y el BRIC trabajan en un proyecto colaborativo sobre colangiocarcinoma
  • CIBEREHD
    La Dra. Fernández-Esparrach, en el equipo de investigación para la mejora de la precisión de las colonoscopias tradicionales
    31/01/2017
    La Dra. Fernández-Esparrach, en el equipo de investigación para la mejora de la precisión de las colonoscopias tradicionales
  • CIBEREHD
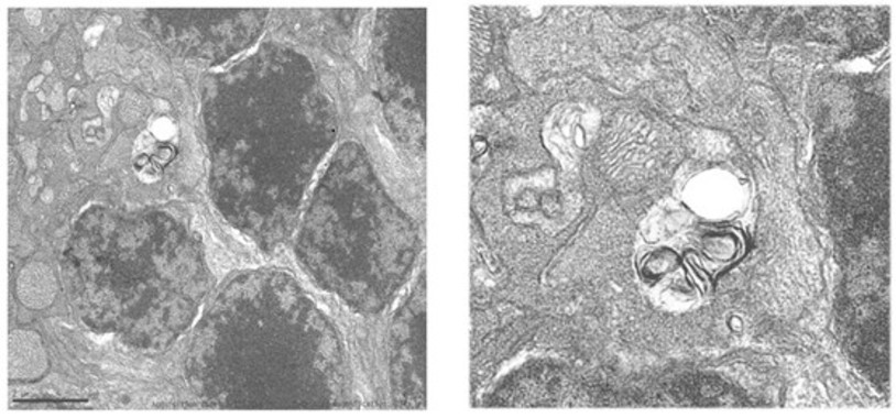
    Deficiencia de ACOX2: Una alteración hereditaria en la síntesis de ácidos biliares identificada en un adolescente con hipertransaminasemia persistente
    30/01/2017
    Deficiencia de ACOX2: Una alteración hereditaria en la síntesis de ácidos biliares identificada en un adolescente con hipertransaminasemia persistente
  • CIBERFES
    Una jornada pone de manifiesto que la disfagia es un serio problema de salud todavía infradiagnosticado
    27/01/2017
    Una jornada pone de manifiesto que la disfagia es un serio problema de salud todavía infradiagnosticado
  • CIBERCV
    Cómo acelerar el tratamiento personalizado de la insuficiencia cardíaca
    26/01/2017
    Cómo acelerar el tratamiento personalizado de la insuficiencia cardíaca
  • CIBERONC
    Científicos del CIEMAT/CIBERONC utilizan nuevas tecnologías para identificar genes causantes del cáncer de mama
    26/01/2017
    Científicos del CIEMAT/CIBERONC utilizan nuevas tecnologías para identificar genes causantes del cáncer de mama
  • CIBERES
    Ramon Farré, nuevo jefe de grupo del CIBERES
    26/01/2017
    Ramon Farré, nuevo jefe de grupo del CIBERES
  • CIBEREHD
    Disponible la nueva APP eDILI que proporciona información sobre hepatotoxicidad
    26/01/2017
    Disponible la nueva APP eDILI que proporciona información sobre hepatotoxicidad
  • CIBEREHD
    Se describe, por primera vez, la implicación del cambio químico de las proteínas en la progresión y regresión de la fibrosis hepática
    25/01/2017
    Se describe, por primera vez, la implicación del cambio químico de las proteínas en la progresión y regresión de la fibrosis hepática
  • CIBERBBN
    Moléculas reguladas con luz para aliviar síntomas del dolor crónico
    25/01/2017
    Moléculas reguladas con luz para aliviar síntomas del dolor crónico
  • CIBERER
    Los grupos de investigación del CIBERER en Aragón participan en una jornada sobre los últimos avances en enfermedades raras
    24/01/2017
    Los grupos de investigación del CIBERER en Aragón participan en una jornada sobre los últimos avances en enfermedades raras
  • CIBERDEM
    Investigadores del CIBERDEM participan en la nueva edición del manual de referencia en español sobre diabetes mellitus de la SED
    24/01/2017
    Investigadores del CIBERDEM participan en la nueva edición del manual de referencia en español sobre diabetes mellitus de la SED
  • CIBERER
    Paola Bovolenta, elegida miembro del Comité Científico del European Research Council
    24/01/2017
    Paola Bovolenta, elegida miembro del Comité Científico del European Research Council
  • CIBERER
    El Hotel Barcelona Princess dona 16.000 euros al CIBERER para la investigación en adrenoleucodistrofia
    23/01/2017
    El Hotel Barcelona Princess dona 16.000 euros al CIBERER para la investigación en adrenoleucodistrofia
  • CIBERER
    Investigadores de Orphanet analizan su labor de difusión de guías de práctica clínica para enfermedades raras
    23/01/2017
    Investigadores de Orphanet analizan su labor de difusión de guías de práctica clínica para enfermedades raras