Ministerio de Ciencia e Innovación

Noticias

  • CIBER
    La contaminación del aire provoca daños en zonas cerebrales vinculadas al Alzheimer
    25/05/2020
    La contaminación del aire provoca daños en zonas cerebrales vinculadas al Alzheimer
  • CIBERBBN
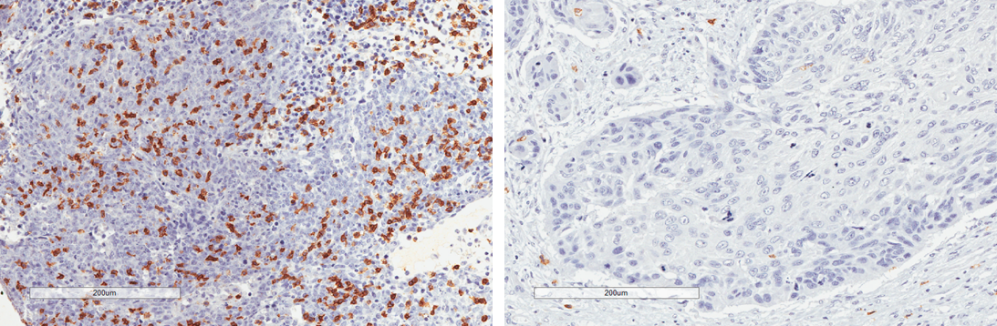
    Prueban con éxito una nueva terapia para el cáncer de mama triple negativo en animales preclínicos
    22/05/2020
    Prueban con éxito una nueva terapia para el cáncer de mama triple negativo en animales preclínicos
  • CIBERER
    Las células del sistema nervioso del intestino y los oligodendrocitos están afectados en el párkinson
    22/05/2020
    Las células del sistema nervioso del intestino y los oligodendrocitos están afectados en el párkinson
  • CIBERDEM
    La Dieta Mediterránea se asocia con una mejor calidad de vida en adultos con diabetes tipo 1
    22/05/2020
    La Dieta Mediterránea se asocia con una mejor calidad de vida en adultos con diabetes tipo 1
  • CIBERDEM
    Identifican un nuevo fármaco para regenerar células beta en diabetes tipo 1 usando inteligencia artificial
    22/05/2020
    Identifican un nuevo fármaco para regenerar células beta en diabetes tipo 1 usando inteligencia artificial
  • CIBERER
    La spin-off del CIBER EpiDisease contribuirá al diagnóstico de COVID-19 con el análisis de hasta 1.200 muestras diarias
    22/05/2020
    La spin-off del CIBER EpiDisease contribuirá al diagnóstico de COVID-19 con el análisis de hasta 1.200 muestras diarias
  • CIBERCV
    Los antioxidantes mitocondriales podrían mejorar las alteraciones cardiacas causadas por la obesidad
    21/05/2020
    Los antioxidantes mitocondriales podrían mejorar las alteraciones cardiacas causadas por la obesidad
  • CIBERDEM
    Describen un mecanismo por el cual comer pescado reduce el riesgo de enfermedades cardiovasculares
    20/05/2020
    Describen un mecanismo por el cual comer pescado reduce el riesgo de enfermedades cardiovasculares
  • CIBER
    El CIBER recibe tres ayudas del Fondo COVID-19
    20/05/2020
    El CIBER recibe tres ayudas del Fondo COVID-19
  • CIBERFES
    Un tipo de fármacos para la hipertensión muy usados no aumentan el riesgo de presentar COVID-19
    19/05/2020
    Un tipo de fármacos para la hipertensión muy usados no aumentan el riesgo de presentar COVID-19
  • CIBERER
    Describen una nueva enfermedad rara caracterizada por rasgos faciales propios, defectos cardíacos y retraso del desarrollo
    19/05/2020
    Describen una nueva enfermedad rara caracterizada por rasgos faciales propios, defectos cardíacos y retraso del desarrollo
  • CIBERESP
    Un estudio pionero permite estimar el riesgo de mortalidad basándose en datos de reanálisis climático
    18/05/2020
    Un estudio pionero permite estimar el riesgo de mortalidad basándose en datos de reanálisis climático
  • CIBERONC
    Identifican un biomarcador que predice el pronóstico de los pacientes con cáncer avanzado tratados con inmunoterapia
    18/05/2020
    Identifican un biomarcador que predice el pronóstico de los pacientes con cáncer avanzado tratados con inmunoterapia
  • CIBEROBN
    Un alto consumo de alimentos ultraprocesados acelera el envejecimiento celular al acortar los telómeros
    15/05/2020
    Un alto consumo de alimentos ultraprocesados acelera el envejecimiento celular al acortar los telómeros
  • CIBERDEM
    La inflamación crónica de los enfermos de Crohn provoca cambios epigenéticos en las células madre de la grasa
    15/05/2020
    La inflamación crónica de los enfermos de Crohn provoca cambios epigenéticos en las células madre de la grasa
  • CIBERCV
    Un ratón transgénico evidencia el papel clave de una proteína en la hipertrofia cardíaca
    14/05/2020
    Un ratón transgénico evidencia el papel clave de una proteína en la hipertrofia cardíaca
  • CIBEROBN
    Identifican la “firma metabólica” de la dieta mediterránea que predice la enfermedad cardiovascular en población española y de Estados Unidos
    14/05/2020
    Identifican la “firma metabólica” de la dieta mediterránea que predice la enfermedad cardiovascular en población española y de Estados Unidos
  • CIBERONC
    Identifican nuevos mecanismos reguladores de una molécula con funciones clave en el sistema inmunitario y tumores
    14/05/2020
    Identifican nuevos mecanismos reguladores de una molécula con funciones clave en el sistema inmunitario y tumores
  • CIBERONC
    La capacidad biosintética,  clave para erradicar las células madre tumorales
    12/05/2020
    La capacidad biosintética, clave para erradicar las células madre tumorales
  • CIBERDEM
    Identificada una ruta genética implicada en la inflamación asociada a la diabetes mellitus tipo 1
    12/05/2020
    Identificada una ruta genética implicada en la inflamación asociada a la diabetes mellitus tipo 1
  • CIBERER
    El CIBER recibe una ayuda para desarrollar un medicamento contra la COVID-19 basado en la proteína receptora del virus
    12/05/2020
    El CIBER recibe una ayuda para desarrollar un medicamento contra la COVID-19 basado en la proteína receptora del virus
  • CIBERSAM
    Las personas con esquizofrenia tienen alteraciones en el metabolismo energético y en el ADN mitocondrial
    11/05/2020
    Las personas con esquizofrenia tienen alteraciones en el metabolismo energético y en el ADN mitocondrial
  • CIBERESP
    La exposición a la contaminación atmosférica durante el embarazo se asocia con un retraso del crecimiento físico en los primeros años de vida
    08/05/2020
    La exposición a la contaminación atmosférica durante el embarazo se asocia con un retraso del crecimiento físico en los primeros años de vida
  • CIBERER
    Ofrecen una primera aproximación de terapia génica para la enfermedad MLC en modelos preclínicos
    08/05/2020
    Ofrecen una primera aproximación de terapia génica para la enfermedad MLC en modelos preclínicos